Composite bonding

Composite bonding is a minimally invasive method used to enhance the shape of anterior teeth. It can also be used to replace enamel that has been lost due to toothwear or trauma. Aoife has been using advanced composite bonding techniques for many years with great success.

 
 

Teeth Whitening

 

Enlighten smiles

Enlighten Smiles is one of the top teeth whitening systems in the world. It guarantees VITA B1 shade or brighter using the highest grade quality whitening gels.

Boutique Whitening

Boutique Whitening is our most popular at-home bleaching kit. It gives excellent results and has been used for many years by millions of people worldwide.

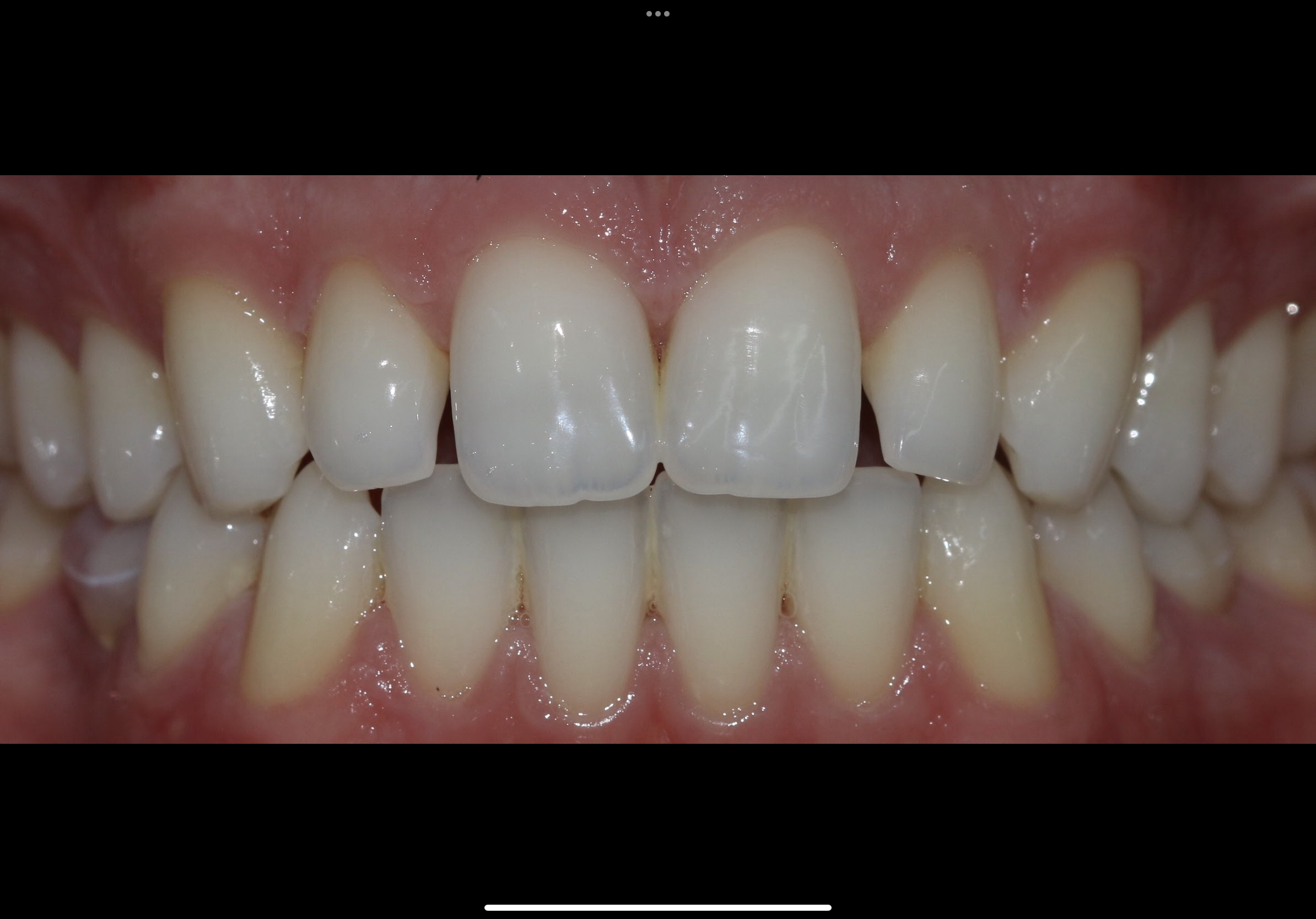
Icon white spot treatment

This whitening treatment is carried out in the surgery. It is used to remove the appearance of white spots on anterior teeth. It is very gentle and avoids unnecessary removal of tooth tissue.

 
Contact Us

Dental implants

Dental implants are an optimum solution to replacing either one or several missing teeth.

 
 

TMJ and FACIAL MUSCLE Pain

TMJ pain can be very debilitating and frustrating to manage. Aoife has offered to solutions to many patients that have allow them to return to normal pain-free life. These solutions range from facial exercises, the provision of appliances to be worn nightly and she also offers botulinum toxin treatments.

Price List

Exam incl. Radiographs €75

Child Exam €40

Fissure Sealants €35

Emergency Treatment €60-150

White Filling

- Small €120

- Medium €140

- Large €150

Temporary Filling €80

Root Canal

- Front Tooth €450

- Premolar €600

- Molar €750

Dental Implant €2700+

Cobalt Chrome Partial Denture €1200

Crowns €800

Bridge

- Conventional €2000+

- Resin Bonded €1100+

Nightguard €350-450

Sports Mouthguard €200

Replacement retainers €125 each

At Home Whitening Kit €295

Enlighten Smiles Whitening  €700

Icon Resin Infiltration €250-350 per tooth

Cosmetic Bonding €250-350 per tooth

Veneers €800

Extraction €120+

Anti-Wrinkle Injections

- One Area €175

- Two Areas €200

- Three Areas €250

 

PRSI SCHEME

Patients who are covered under the PRSI scheme are entitled to one free examination every year and one scale and polish for €15.


TAX RELIEF

Tax relief of 20% can be claimed from many dental procedures. At the end of treatment, we can provide a Med 2 form which is the document used to claim this.


HEALTH INSURANCE

Our team can assist you in how to claim any fees that you entitled to from all main health insurance providers.